Зачем кому-то было нужно создавать 20 тесловый магнит? Большинство людей не знают, что собой представляет такая мощь. Она даст врачам и ученым новейшие расширенные возможности, но в то же время, обслуживание такого монстра чрезвычайно сложное. Как мы ранее писали в статье «7Т МРТ: А ОНА ТОГО СТОИТ?», 3Т МРТ можно сравнить со спортивной машиной, а 7Т с высокопроизводительной машиной Формулы 1. Тогда с чем можно сравнить 20Т МРТ? Она как ThrustSSC – машина с реактивным двигателем, которая, на данный момент, поставила рекорд скорости на автомобиле в 1228 км/ч.
Даже это немного экстремальное описание на самом деле не охватывает всей мощности 20Т МРТ аппарата. Ученые из Университета Ноттингэма и Университета Неймегена в Нидерландах, используя 16 Тесловое магнитное поле, смогли левитировать лягушку. Важно понимать, что в лягушке не было ничего металлического; ее левитировали с помощью силы магнитного поля, которое слегка реорганизовывает электроны в атомах лягушки. Не волнуйтесь, в результате исследования лягушка не пострадала и продолжала жить своей веселой лягушачьей жизнью.
Следующий вопрос, который может возникнуть – это зачем нужно такое сильное магнитное поле? Разве 7Т – это не само воплощение УВП (ультра-высокопольной) МРТ? Для большинства намерений и целей, любого вида диагностики и исследования, как описано в статье упомянутой выше, она более чем достаточная. Тогда что же нам может дать 20Т?

Рис. 1. Поле и диаметр гентри МРТ магнитов: существующие – черное, в разработке – синее, наша цель – зеленое.
В 2013 году, команда, в которую входит MagLab, запустила разработку Ekosi Tesla («ekosi» с греческого переводится как 20) и намерилась преодолеть 20Т барьер. Большинство МРТ аппаратов, что находятся в эксплуатации на сегодняшний день, имеют 1,5Т, некоторые 3Т и только несколько работают в ультра-высоких полях, таких как 7Т и выше. К настоящему времени, самый мощный МРТ аппарат имеет 11,75Т магнит. Такое достижение предоставляет нам колоссальное количество знаний и точности, что даже не укладывается в голове, а когда дойдем до 20Т, кто знает, что мы сможем обнаружить?
Большинство врачей, а в особенности радиологи знают, что МРТ использует свойства атомов водорода, которые находятся во всех клетках и тканях. Ультравысокое поле идет на пару шагов дальше. Оно способно обрабатывать сигналы от ионов натрия, калия, углерода, фосфора и др. Как было написано в предыдущей статье, 7Т МРТ подходит не только для научных работ, она может применяться во многих направлениях, таких как визуализация мышечно-скелетной системы, брюшной полости, молочных желез, интервенционная визуализация и исследование глаз. Хоть существует 7Т аппарат с возможностью сканировать все тело, новый 20Т аппарат будет иметь диаметр гентри 65 см, который достаточно широкий для среднестатистического размера туловища человека. Как всем известный БАК (Большой адронный коллайдер – Large Hadron Collider – LHC), который расширяет наши знания о физических явлениях, 20Т откроет нашему миру ранее не известные, интимные детали о работе мозга.
Технологические продвижения во всех направлениях происходят с молниеносной скоростью и магнитно-резонансные разработки в том числе. На данный момент, единственное, что нас задерживает – это то, что технологии необходимые для достижения 20Т еще на начальных этапах развития. Для того, чтобы преодолеть эти ограничения, много новых изобретений необходимо доводить до конца. Главное препятствие – это разработка технологии магнита, который можно будет использовать в широком гентри (65 см) с гомогенным полем. Суперпроводяший материал для магнита тоже нуждается в апгрейде, но как наука доказывает раз за разом – никогда не говори, что это невозможно. Физиологические ограничения и потенциальная вредность здоровью тоже требуют не мало внимания, но с точными настройками в работе и осторожным подходом к таким вопросам, скорее всего удастся предотвратить какие либо серьезные негативные эффекты.
Разрабатывать столько инновационных технологий, по сути, «кладя все яйца в одну корзину», было бы неразумно, поэтому международная команда сначала соберет 14Т прототип в подтверждение концепции. Единственное что нужно будет сделать, чтобы совершить оставшийся 6Т прыжок до 20Т – это поменять масштаб проекта.
С возможностью исследовать индивидуальные ионы и их взаимодействие друг с другом, мы сможем узнать, как организованы нейроны мозга, и каким образом аксоны соединяют разные его участки. 7Т возможности, такие как Na‑23 МРТ для оценки трансплантаций тканей, распределения и баланса Na+, в совокупности дадут новые сведения о метаболических и других заболеваниях. Также, Р-31 МР спектроскопия (МРС) недавно показала высокую точность в дифференциации неалкогольной, доброкачественной болезни печени с прогрессивным стеатогепатитом. Фосфорилированные метаболиты с Р-31 МРС теперь можно применять для классификации рака простаты. Все вышеописанное осуществимо с 7Т, но охота на более глубокие знания не закончится на этом.

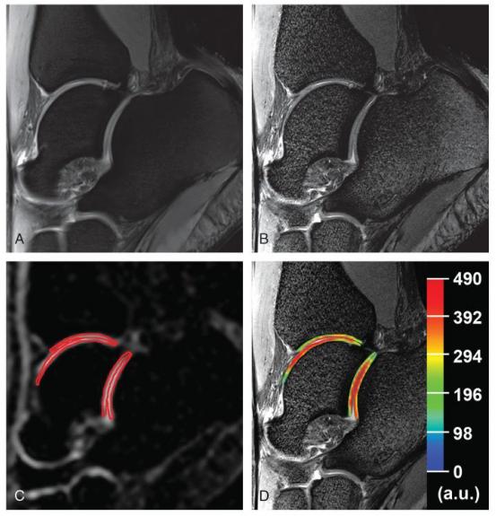
Протонный и соответсвующие натриевые снимки голеностопного сустава 23-х летней женщины в норме. А. Сагиттальный 2D-TSE снимок, взвешенный по протонной плотности с подавлением сигнала от жира и низким разрешением (0.31×0.31×3.0 мм3). В. Сагиттальный 2D-TSE снимок, взвешенный по протонной плотности с подавлением сигнала от жира (WIP 729C; Siemens, Erlangen, Germany) и высоким разрешением (0.27×0.27×1.5 мм3). С. Сагиттальный 3D-GRE натриевый снимок с красными конутрами, которые предсталяют исследуемую область при оценке хрящей в голеностопном и подтаранном суставах. D. Цветное cSI картирование натрия в хрящах, наложенное на соответствующий морфологический снимок.
Дополнительные преимущества 20Т по сравнению с 7Т – это явное превосходство в чувствительности и сокращение времени сканирования, которые можно уменьшить почти на порядок величины для Na-23 и Р-31. Это значит, что потенциально, мы сможем получить субмиллиметровое пространственное разрешение меньше чем за 10 минут для Na-23 и значительно уменьшить время сканирования сердца с помощью Р-31 спектроскопии, что на данный момент занимает почти два часа.
Мы кратко изложили материалы и методы, а также пользу от 20Т человеческой МРТ. Не «если», а «когда» это веховое магнитное поле разработают, мы получим способность увидеть как развиваются болезни до их клинического проявления. Это потенциально может решить проблемы современного здравоохранения. И так, когда мы спросили: «Стоит ли того 7Т МРТ?», нам стоило догадаться, что 20Т прямо за углом. Без сомнения, 20Т – это будущее, и точно как БАК, она сможет раскрыть секреты, которые окружают современного человека.
Zbýň Š, Brix MO, Juras V, et al. Sodium Magnetic Resonance Imaging of Ankle Joint in Cadaver Specimens, Volunteers, and Patients After Different Cartilage Repair Techniques at 7 T: Initial Results. Investigative radiology. 2015;50(4):246-254. doi:10.1097/RLI.0000000000000117.
04.08.2015