Из сведений Всемирной организации здравоохранения, примерно 325 млн людей на планете живут с хронической инфекцией, вызванной вирусом гепатита B (HBV) или вирусом гепатита C (HCV).
Опираясь на грубую оценку 5% населения страдают заболеваниями печени и только 5% из них знают об этом.
Это означает, что если у Вас 200 друзей в Facebook, то 10 из них имеют заболевания печени и с большой вероятностью они об этом не знают!

Печень – самая большая железа в человеческом организме, которая делится на 4 доли или на 8 сегментов и выполняет более 500 функций.
Один из источников заболевания печени - вирусные гепатиты. Особому риску подвергаются жители гиперэндемичных регионов из-за особенностей климата, образа жизни и питания.


По данным Федеральной службы государственной статистики (Росстат) в Российской Федерации от различных заболеваний печени умирает более 50 000 человек ежегодно!

Заболевания печени представляют серьезную угрозу общественному здоровью международного масштаба, сопоставимую с другими инфекционными болезнями, такими как ВИЧ-инфекция, туберкулез и малярия.
Существуют инвазивные и неинвазивные методы диагностики патологических процессов в печени.
К инвазивным относится биопсия печени, которая считается золотым стандартом диагностики хронических диффузных заболеваний. Но из-за больших рисков осложнений и хирургического вмешательства, хоть и минимального, биопсию невозможно использовать на широкой аудитории пациентов или для диспансеризации.

Иммунологический и биохимический анализы крови характеризуются большой погрешностью, специфичностью типов и высокой стоимостью, что накладывает ряд ограничений для потокового исследования населения.

Метод ультразвуковой визуализации (УЗИ) дает представление только о морфологических особенностях, изменение которых происходит на II – IV стадии заболевания, что становится неэффективным при ранней диагностике болезни печени.

МРТ и КТ методы диагностики дорогостоящие. При использовании стандартных методик и программ визуализации позволяют оценивать только морфологические изменения в печени, что не дает полноты картины для постановки диагноза на ранней стадии. А при использовании контрастных веществ, сильно увеличивают стоимость диагностики.

Компрессионная эластография (RTE) используется на УЗ сканерах и применима для диагностики щитовидной и молочной желез. Для диагностики печени, из-за ее расположения, этот метод не подходит.
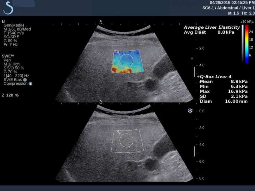
Эластография сдвиговой волны (ARFI) метод, который все шире применяется в мировой практике для диагностики печени при помощи УЗИ. Имеет ряд преимуществ в сравнении с другими неинвазивными методами диагностики. Режим уже широко применяют такие производители: GE Healthcare, Philips, Siemens, SuperSonic, но, к сожалению, пока метод не стандартизирован, не имеет шкалы качества измерения ARFI и каждый производитель использует свою интерпретацию. Эластография сдвиговой волны (ARFI) имеет точность 90% из-за усреднения показателя длины волны при измерении упругости ткани.

Транзиентная эластография (TE) - самая молодая технология. Уникальность метода заключается в том, что механические колебания, провоцирующие поперечные волны в ткани печени позволяют достичь охвата измеряемого объема в 100 – 200 раз больше чем при биопсии. Распространение таких волн и измерение модуля упругости производится за счет ультразвуковой технологии. Для генерации волн используется специализированный совмещенный механический и ультразвуковой датчик. За счет генерации механической волны, таким датчиком с заранее известными параметрами и длиной волны, достигается клиническая точность 97%.

Полученные данные о состоянии печени при помощи транзиентной эластографии (TE) на приборе Fibrotouch соответствуют F1 - F4 в kPa стадии заболевания и коррелируются с гистологической стадией фиброза по шкале METAVIR, а так же учитывает шкалу качества и надежности измерения IQR.

Дополнительно, система отслеживает с высокой точностью контролируемый параметр затухания ультразвукового сигнала в жировой ткани и на основе полученных данных рассчитывает количественный результат UAP в dd/m, который используется для оценки степени стеатоза печени.
На сегодня прибор, использующий транзиентную эластографию (TE) - это FibroTouch производства фирмы HISKY MED, имеющий 135 патентов на технологию и 76 международных патентов.


Преимущество использования аппарата Fibrotouch в том, что он одновременно диагностирует фиброз печени и жировой гепатоз, используя один специализированный датчик для всех типов пациентов (для детей, мужчин и женщин со стандартной комплекцией и для тучных пациентов).
1. УНИВЕРСАЛЬНОСТЬ:
2. ТОЧНОСТЬ:
3. БЕЗОПАСНОСТЬ:
Компания Medford Medical Solutions Co., Ltd. - это представительство компании HiSky и первый дистрибьютор аппарата Fibrotouch на рынок России. Офисы в Москве, Санкт-Петербурге и Севастополе. Компания поставляет медицинское диагностическое оборудование с 2009-го года, а также занимается сервисно-техническим обслуживанием высокотехнологичного медицинского оборудования.
29.01.2019