Современная УЗИ система готова предоставить миру массу новых возможностей. Французская корпорация SuperSonic Imagine продемонстрировала свою 8-летнюю разработку — Aixplorer Ultimate. Это уникальный УЗИ сканер, который работает с частотой кадров в 200 раз больше, чем уже известные системы, что позволяет проводить несколько операций одновременно, расширить диапазон получаемых данных, а также повысить их точность и достоверность.

Новые разработки в медицине появляются достаточно часто, но не все они могут составить должную конкуренцию уже известным аппаратам. Когда речь идет про ультразвуковые системы - требования становятся еще больше: точность результатов должна быть максимально высокой, время обработки коротким, а интерфейс удобным. Новинка в области ультразвукового оборудования от компании SuperSonic Imagine сочетает в себе все необходимые характеристики и поэтому заинтересовала врачей всего мира.

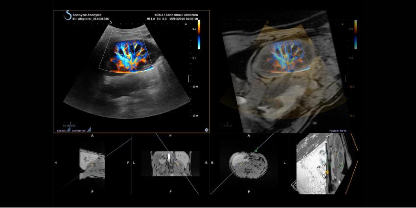
Aixplorer Ultimate — это разработка французской компании, которая уже на протяжении многих лет совершенствует и создает УЗИ аппараты нового поколения. Особенностью этого устройства считается использование новой технологии UltraFast, которая обеспечивает частоту кадра в 200 раз больше, чем у существующих ныне систем. Благодаря программной архитектуре, УЗИ аппарат может использовать улучшенные методы обработки изображений.
Высокое качество изображений обеспечивается программной технологией SuperFast от SuperSonic Imagine. Режим отображения играет очень большую роль в таких аппаратах, поэтому получаемая картинка должна быть однородной и четкой. Технология Tissue Tuner может адаптировать скорость ультразвука для нескольких органов, что расширяет возможности врачей в различных ситуациях.
Ну и конечно, дополнение ShearWave Elastography, которое также разработано этой французской компанией, позволяет визуализировать и оценивать жесткость тканей в режиме реального времени.

УЗИ сканер Aixplorer UltraFast позволяет врачам получать необходимое количество данных и открывает дверь к различным инновационным технологиям:
Все эти инновации, доступные с внедрением данного устройства в медицинские учреждения, смогут сэкономить время обследований, сделать их комфортными и надежными. Обзор работы и технических характеристик этого сканера подтверждают его уникальные возможности и делают отличным помощником в клиниках. Эта система разрабатывалась на протяжении 8 лет и результаты, которые получили разработчики в итоге, превзошли все ожидания.
Олег Волобуев, врач, компания BiMedis
13.03.2018